How a Mind-Controlling Parasite Could Deliver Medicine to the Brain

Share
The brain is like a medieval castle perched on a cliff, protected on all sides by high walls, making it nearly impenetrable.
Its shield is the blood-brain barrier, a layer of tightly connected cells that only allows an extremely selective group of molecules to pass. The barrier keeps delicate brain cells safely away from harmful substances, but it also blocks therapeutic proteins—like, for example, those that grab onto and neutralize toxic clumps in Alzheimer’s disease.
One way to smuggle proteins across? A cat parasite.
A new study in Nature Microbiology tapped into the strange world of mind-bending parasites, specifically, Toxoplasma gondii. Perhaps best known for its ability to rid infected mice of their fear of cats, the parasite naturally travels from the gut to the brain—including ours—and releases proteins that tweak behavior.
The international team hijacked T. gondii’s natural, brain-targeting impulses to engineer two delivery systems, one for a single-shot therapeutic boost and another that lasts longer.
The unconventional shuttle worked on brain cells in petri dishes and brain organoids. Often called “mini-brains,” these pea-sized blobs roughly capture the cell types and structure of a growing fetal human brain. However, they don’t usually produce a blood-brain barrier.
To show the shuttle could gain access to the brain, the team engineered a T. gondii shuttle with a therapeutic protein for Rett syndrome, a genetic disorder that leads to autism-like symptoms.
After one shot into the belly, the shuttle released the therapeutic proteins widely into the brains of lab mice within a few weeks. The proteins mostly accumulated in parts of the brain critical for perception, reasoning, and memory.
“For medicine, efficient and safe delivery of proteins could unlock a broad category of protein-based therapies,” wrote the authors.
U-Haul to the Brain
Getting protein-based drugs into the brain is a pain. Unlike gene therapy concoctions, proteins are extremely sensitive to heat and acid. They can’t be swallowed as a pill—the gut’s acid destroys them. Even injections straight into the blood stream are problematic. Immune cells, for example, may wipe out the proteins before they have a chance to reach the brain.
Thankfully, nature is a source of inspiration. All brain-targeting carriers need to bypass two “checkpoints”: The first is the blood-brain barrier, the second, the neuron’s membrane.
A popular approach uses a bio-engineered virus carrying the genetic instructions to make a protein once inside the neurons. Often employed in gene therapy, scientists make the virus relatively safe by stripping away its infectious tendencies. But like a small U-Haul van, it only has room for the genetic instructions of smaller proteins.
Another surprising carrier traces its roots to HIV. Scientists studying the virus found a small protein chunk that allows it to penetrate the blood-brain barrier and get past neuron membranes. By engineering these chunks—which aren’t infectious—into shuttles, scientists can then tag protein cargos onto them. One example (by yours truly) could tunnel into the brain after an injection into the bloodstream and protect rats’ brains from damage after a stroke.
These shuttles too are limited by size: They can only drag along very small protein snippets. Antibodies and other larger proteins are beyond reach.
T. gondii, in contrast, has a much larger capacity.
A Synthetic Fleet
A cat parasite hardly sounds like medicine. But it’s a worthy candidate.
Normally, T. gondii produces egg-like “offspring” in the guts of cats, which are then strewn into the wild as they poop. The parasite waits for potential hosts—say, a mouse sniffing for crumbs or a human changing the litter box—and infects the unsuspecting host, ultimately spreading into the brain. Once inside, T. gondii lingers in neurons, rather than other brain cells.
It sounds terrifying, but for people with a healthy immune system, the parasite usually doesn’t cause harm. “In fact, it is estimated that a third of the world population is chronically infected with the parasite,” Dr. Oded Rechavi’s lab, who led the study, wrote in a blog post.
Be Part of the Future
Sign up to receive top stories about groundbreaking technologies and visionary thinkers from SingularityHub.


To transform T. gondii into a delivery tool, the team focused on two secretion systems in the parasite that let the parasite pump proteins into target cells. These are “remarkable innate abilities,” wrote the team.
They first built a protein link between the two systems and their potential cargo, for example, proteins implicated in Parkinson’s disease, gene-editing proteins, and MECP2—which is linked to Rett syndrome. The team then tethered the proteins to one of the two systems and delivered them into a variety of cells in petri dishes.
Within a day, the proteins were thriving inside their hosts.
In neurons without MECP2, a dose of T. gondii carrying a synthetic version of the protein boosted its levels to roughly 58 percent of normal cells, which is similar to previous gene therapy studies of Rett syndrome. The added MECP2 worked like its natural counterpart, turning genes on or off inside neurons as expected.
T. gondii also reliably released its payload into mature brain organoids. The protein altered genetic transcription throughout the mini-brains, changing gene expression as predicted.
The two T. gondii systems had individual strengths. One is a “kiss-and-spit”: Like a fighter jet, T. gondii swoops in on a neuron, releases its protein payload, and leaves. The other takes a longer approach, requiring T. gondii to infiltrate and establish itself inside the cell, like a sleeper agent. Once in, however, the system can deliver its cargo for a longer time and at a higher level.
Cat and Mouse Game
As a final test, the team injected the engineered T. gondii, with an MECP2 payload, into the bellies of mice—like an insulin shot for people with diabetes.
Eighteen days later, the mice’s brains showed signs of cysts—which are harmless for people without immune problems—indicating the parasite was establishing itself inside the brain. Other tissues, including the liver, lung, and spleen, had very little T. gondii roaming around for up to three months after injection. Only the brain had a boost in MECP2.
“Many proteins require controlled targeting” to a specific part of the body, or otherwise they’re “ineffective or even deleterious if delivered elsewhere,” explained the team.
Surveying multiple regions of the brain, T. gondii seemed to prefer settling inside the cortex—the outermost region of the brain involved in perception, reasoning, and making decisions. Its second choice was the “memory center,” the hippocampus. That’s good news: Both regions are favorite targets for tackling neurological disorders. And the treatment didn’t alert the body’s immune system, with the therapeutic proteins easily getting along with the brain’s usual protein brigade.
“T. gondii can be used…[for]…many of the challenges associated with protein delivery,” for both scientific research and therapeutics, wrote the team.
There’s still a long road to go. Although T. gondii is safe for healthy people, it has been linked to side effects in the brain for the immunocompromised. The next step is to strip away its toxicity in a way similar to the viral carriers now used for gene therapy. If it works, T. gondii is set for a genetic makeover as a safe shuttle to the brain—despite its cat parasite origin story.
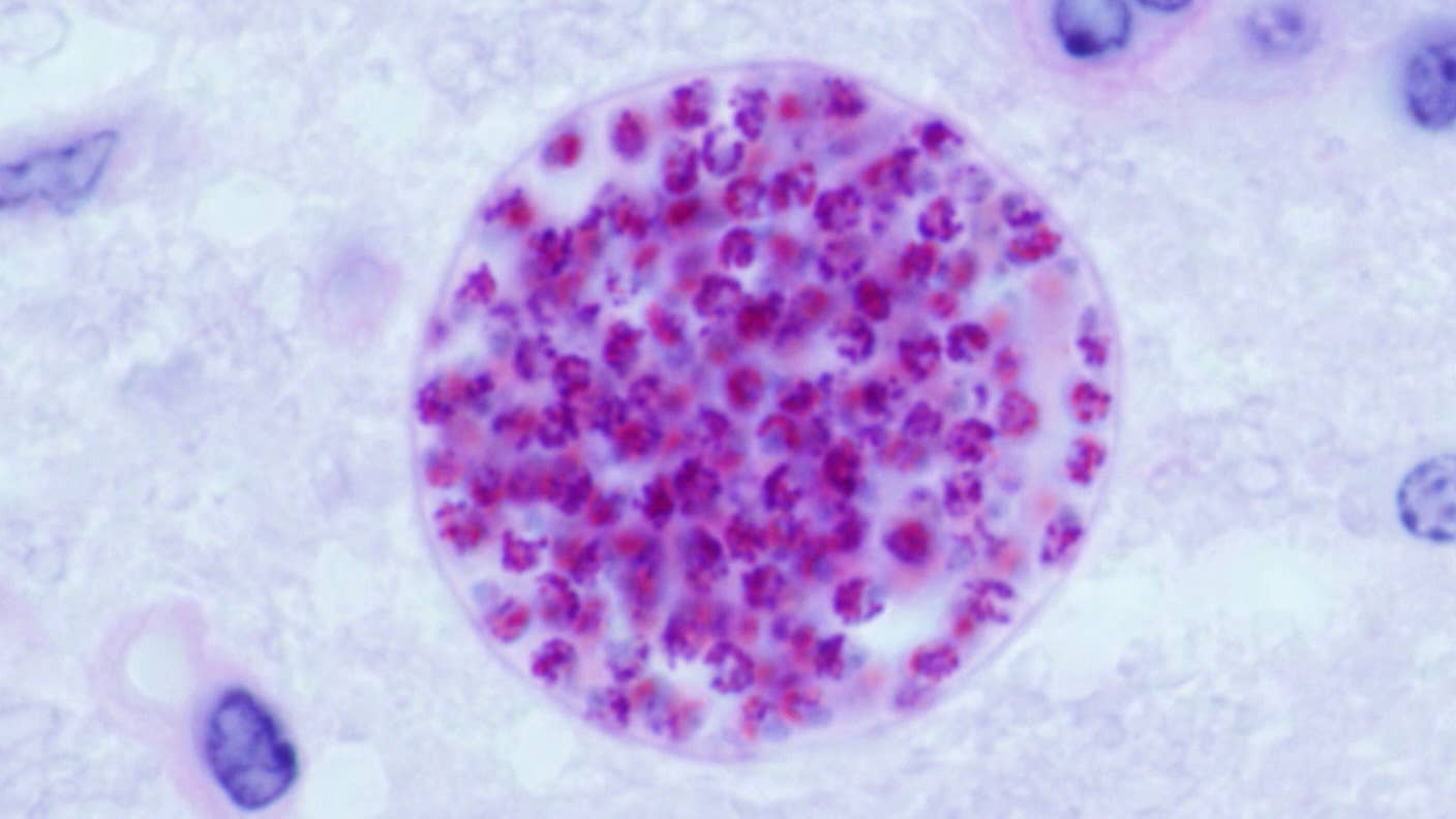
Image Credit: T. gondii cyst in mouse brain tissue. Jitinder P. Dubey / Wikimedia Commons
Dr. Shelly Xuelai Fan is a neuroscientist-turned-science-writer. She's fascinated with research about the brain, AI, longevity, biotech, and especially their intersection. As a digital nomad, she enjoys exploring new cultures, local foods, and the great outdoors.
Related Articles

One Dose of This Gene Editor Could Defeat a Host of Genetic Diseases Suffered by Millions

Groundbreaking Gene Therapy Transforms Life of Boy With Devastating Disorder

CRISPR Slashes ‘Bad Cholesterol’ Levels by 95 Percent in Early Results
What we’re reading